• ledinhhai030494@gmail.com

Sáng ngày 01/4/2025, tại Hà Nội, Hội Ký sinh trùng học Việt Nam phối hợp với Viện Sốt rét - Ký sinh trùng - Côn trùng Trung ương (Bộ Y tế) tổ chức Hội nghị khoa học về Ký sinh trùng toàn quốc lần thứ 51 năm 2025.

Xem thêm
  • ledinhhai030494@gmail.com

Trước diễn biến phức tạp của bệnh sởi trên cả nước, các địa phương miền Trung đang khẩn trương triển khai chiến dịch tiêm vaccine phòng sởi, phấn đấu hoàn thành trước ngày 31/3.

Xem thêm
  • ledinhhai030494@gmail.com

Theo ông Vũ Tuấn Cường - Cục trưởng Cục Quản lý Dược (Bộ Y tế), Cục Quản lý Dược vừa cấp giấy đăng ký lưu hành thuốc, công bố danh mục thuốc biệt dược gốc cho 750 thuốc, trong đó có 51 biệt dược gốc.

Xem thêm
  • ledinhhai030494@gmail.com

SKĐS - Ngày 1/4, Bệnh xá đảo Trường Sa (huyện đảo Trường Sa, Khánh Hòa) tiếp nhận và cấp cứu kịp thời cho một ngư dân quê ở Quảng Ngãi bị tai nạn trong quá trình lao động.

Xem thêm
  • ledinhhai030494@gmail.com

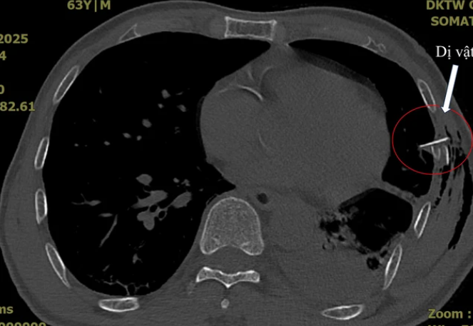
SKĐS - Ông V.Đ.Q (63 tuổi, trú xã Tam Hòa, huyện Núi Thành, tỉnh Quảng Nam) vào viện với tình trạng đau ngực sau chấn thương do tai nạn giao thông, bên ngoài hoàn toàn không có vết thương, chỉ có vết xây xước nhẹ ngoài da.

Xem thêm
  • ledinhhai030494@gmail.com

SKĐS - Hiện nay, súng ná cao su bắn bi sắt là trò chơi khá phổ biến ở lứa tuổi thanh, thiếu niên, có thể gây mù mắt, thậm chí nguy hiểm đến tính mạng. Do đó, không nên sử dụng súng ná cao su, đặc biệt không cho trẻ em tiếp cận các trò chơi nguy hiểm này...

Xem thêm
  • ledinhhai030494@gmail.com

Chăm sóc sức khỏe tại nhà là dịch vụ cung cấp các phương pháp chăm sóc sức khỏe tận nhà cho người bệnh. Các dịch vụ này thường được chia thành hai nhóm là chăm sóc sức khỏe tổng quát và chăm sóc sức khỏe riêng biệt.

Xem thêm
  • ledinhhai030494@gmail.com

Các dịch vụ khám bệnh tại nhà có chi phí trung bình từ 500.000 đến 2 triệu đồng, tùy vào từng cơ cở khám và dịch vụ mà bạn sử dụng.

Xem thêm
  • ledinhhai030494@gmail.com

Chăm sóc sức khỏe tại nhà đang trở thành mô hình phổ biến trong thời đại xã hội ngày càng phát triển và bận rộn như hiện nay. Dịch vụ này bao gồm những tiện ích nào? Đơn vị cung cấp dịch vụ chất lượng ở đâu? Kính mời bạn đọc theo dõi thông tin chi tiết trong bài viết sau đây.

Xem thêm
0
lên trên cùng
💬
MediBase AI